Dalla ricerca ANTHEM nasce MiThyCA per migliorare la diagnosi dei tumori con AI

🔔 Vuoi ricevere le notizie di Montagne & Paesi sul tuo smartphone? WhatsApp WhatsApp | Telegram Telegram
Dalla ricerca ANTHEM nasce MiThyCA, un sistema di Intelligenza Artificiale che aiuta i medici nella lettura delle immagini digitali per una diagnosi più rapida ed efficace dei tumori.
COMUNICATO STAMPA
Milano, 5 dicembre 2025 – Sono stati pubblicati sulla rivista scientifica Endocrine Pathology i primi risultati dello studio MiThyCA, nato dalla ricerca ANTHEM e dedicato alla diagnosi dei tumori solidi con il supporto dell’Intelligenza Artificiale.
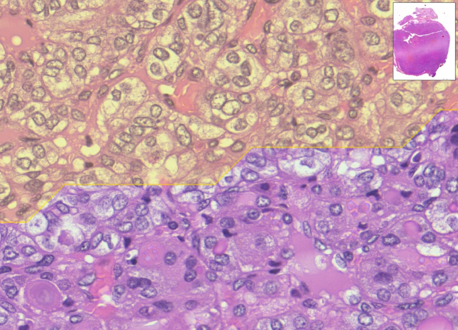
Si tratta di un algoritmo di digital pathology in grado di analizzare immagini istologiche ad altissima risoluzione in grado di fornire un aiuto significativo ai medici nella diagnosi di tumori. Il sistema utilizza reti neurali profonde (strumenti di deep learning, dunque basate sull’Intelligenza Artificiale) addestrate su migliaia di campioni digitalizzati con scanner molto potenti (l’immagine ricavata dai vetrini istologici su cui si trovano le cellule da analizzare) per identificare automaticamente aree, cellule, marcatori sospetti, spesso difficili da rilevare da parte dell’occhio umano.
L’Intelligenza Artificiale analizza l’immagine del campione e punta letteralmente il proprio sguardo in modo rapido sulle aree che meritano l’attenzione dei medici, velocizzando in tal modo la diagnosi e rendendola più efficace. Più nello specifico, il sistema sviluppato nella ricerca mette in campo un “doppio occhio”, due reti neurali che lavorano in sequenza: un primo “occhio digitale” coglie i dettagli delle cellule, un secondo “occhio” considera la visione d’insieme dell’immagine. Integrando le due letture, MiThyCA indica le aree che è opportuno analizzare per prime.
Negli studi condotti su casi di carcinoma tiroideo, l’algoritmo ha raggiunto un’accuratezza diagnostica paragonabile a quella di un team esperto, fornendo un secondo parere, accanto a quello umano – sempre presente durante la diagnosi – oggettivo e riproducibile. In futuro, il vetrino del proprio esame istologico non dovrà più viaggiare tra laboratori o specialisti, che necessitino del campione fisico per eseguire la diagnosi: basterà un’immagine digitale, che potrà essere analizzata in modo efficace dall’AI e dal medico per individuare rapidamente la natura di una lesione o la risposta a una terapia. Questo si traduce in tempi di attesa ridotti, minore incertezza per i pazienti, e nella possibilità di avviare prima percorsi di cura personalizzati.
Guido Cavaletti, direttore scientifico di Fondazione ANTHEM: «Il modello di Intelligenza Artificiale MiThyCA esegue valutazioni non vincolanti e sempre senza sostituire il lavoro del medico nell’effettuare la diagnosi. Il supporto che è in grado di dare è davvero significativo: il tempo di valutazione del campione si riduce da alcune ore a pochi minuti, in un campo della medicina come quello dell’oncologia dove accorciare il tempo della diagnosi è fondamentale per aumentare l’efficacia delle cure».
MiThyCA è stato sviluppato da un gruppo di ricerca interdisciplinare che ha coinvolto l’Università Ca’ Foscari Venezia, l’Università di Milano-Bicocca, la Fondazione IRCCS San Gerardo Dei Tintori, l’Istituto Europeo di Oncologia e l’ASST Papa Giovanni XXIII di Bergamo. Il progetto è open source, quindi già a disposizione della comunità scientifica. Uno degli aspetti particolarmente rilevanti della ricerca è la possibilità, per il sistema MiThyCA, di gestire i dati e le immagini, molto differenti tra loro a causa degli scanner e dei protocolli differenti con cui sono state prodotte, provenienti da diversi ospedali e laboratori: addestrata per far fronte a questo tipo di variazioni, MiThyCA ha dimostrato di produrre risultati validi in contesti diversi.
Fabio Pagni e Vincenzo L’Imperio, docenti e ricercatori del dipartimento di Medicina e Chirurgia dell’Università degli Studi di Milano-Bicocca: «La transizione digitale nel campo dell’imaging legato alla salute prevede un progressivo processo di sostituzione dei vetrini fisici in immagini virtuali. Progetti come MyThyCA danno prova concreta della fattibilità della sfida, e producono risultati che garantiscono un ritorno dell’investimento da parte delle Istituzioni verso soluzioni altamente tecnologiche perché contribuiscono a rendere la diagnosi più rapida ed efficace. Per ottenere tali risultati è fondamentale includere nei team clinici nuove figure professionali complementari, come i bioinformatici, per rendere fruibili all’utente finale gli algoritmi di Intelligenza Artificiale»
Stefano Paleari, presidente Fondazione ANTHEM: «MiThyCA ben rappresenta la sfida che sta portando avanti Fondazione ANTHEM da tre anni: le tecnologie applicate alla salute possono portare ad un salto di qualità davvero significativo nel campo della diagnosi, dei trattamenti, della cura, della qualità della vita per tutti. Uno sforzo reso possibile da una ricerca multidisciplinare e dalla collaborazione di tutti i nostri partner, a livello nazionale e internazionale: enti, ospedali, centri di ricerca che producono migliori risultati quando lavorano in rete, come nel caso dei progetti promossi da Fondazione ANTHEM. I risultati di questo studio ci portano a sostenere ancora di più l’impegno a fare sì che la ricerca ANTHEM, nata nell’ambito del PnC-PNRR, prosegua nei prossimi anni e raggiunga una massa critica di ricercatori sempre più ampia».
FONDAZIONE ANTHEM
ANTHEM – Advanced Technologies for Human-centEred Medicine – è una delle più significative iniziative di ricerca italiane ed europee, finanziate con 123 milioni di euro dal Ministero della Ricerca nell’ambito del PnC – Piano Nazionale per gli investimenti Complementari al PNRR. È un progetto multidisciplinare – che attraversa la medicina e l’ingegneria, la fisica, l’informatica e l’economia – nato per sviluppare tecnologie e percorsi innovativi in ambito sanitario e assistenziale. Strumenti innovativi e sensori per la diagnosi, monitoraggio sanitario e ambientale, intelligenza artificiale e imaging, diagnosi e trattamento del cancro: ANTHEM comprende 28 progetti pilota raggruppati in 4 Spoke (macroaree di ricerca) coordinati dalle Università di Bergamo, Milano-Bicocca, Politecnico di Milano e Università di Catania, per un totale di oltre 350 ricercatori coinvolti. Conta su una solida rete di partner pubblici e privati composta da università, ospedali, realtà private e istituzioni pubbliche, con il contributo della società civile, delle associazioni dei pazienti e di altri enti di ricerca. La mission di ANTHEM è migliorare la cura e la qualità della vita di pazienti fragili, cronici e colpiti da patologie che ad oggi non hanno ancora una terapia, grazie a monitoraggio intelligente, prevenzione e diagnosi, medicina di precisione, miglioramento tecnologico. Per maggiori informazioni: fondazioneanthem.it.

WhatsApp Logo

📲 Ricevi gratis le notizie di Montagne & Paesi sul tuo telefonino!

Iscriviti al nostro canale WhatsApp ufficiale per restare sempre aggiornato su notizie e curiosità dalle valli.

👉 Clicca qui per iscriverti al canale

Telegram Logo

📢 Seguici anche su Telegram!

Unisciti al canale Telegram di Montagne & Paesi per ricevere tutte le news in tempo reale.

👉 Clicca qui per iscriverti su Telegram

Panoramica privacy

Questo sito Web utilizza i cookie in modo che possiamo offrirti la migliore esperienza utente possibile. Le informazioni sui cookie sono memorizzate nel tuo browser e svolgono funzioni come riconoscerti quando ritorni sul nostro sito Web e aiutare il nostro team a capire quali sezioni del sito Web ritieni più interessanti e utili. Puoi trovare maggiorni informazioni sul nostro trattamento dei dati personali nella nostra Privacy Policy